
歯科治療の歴史は、第一世代の痛みをとる治療から、第二世代の良く噛める治療へと推移してきており、
現在は第三世代の見た目を重視した治療へと移行してきております。その見た目を重視した治療をまとめて、
審美歯科治療といいます。
審美歯科というと「ホワイトニング(歯の漂白)」と思われがちですが、ホワイトニングは審美歯科のほんの入り口でしかありません。

元来、歯科治療は見た目を考慮しない治療はないものですが、近年の治療技術と治療マテリアルの向上により、
より自然な治療効果を得ることができるようになりました。
例えば、歯の色の改善や歯茎形態の改善など、今まではあまり治療といえず、どちらかというと美容整形に近い部分の施術も、
簡単にまた体へのダメージも最小にできる施術方法が確立されてきていることから、安心して行うことができるようになっています。
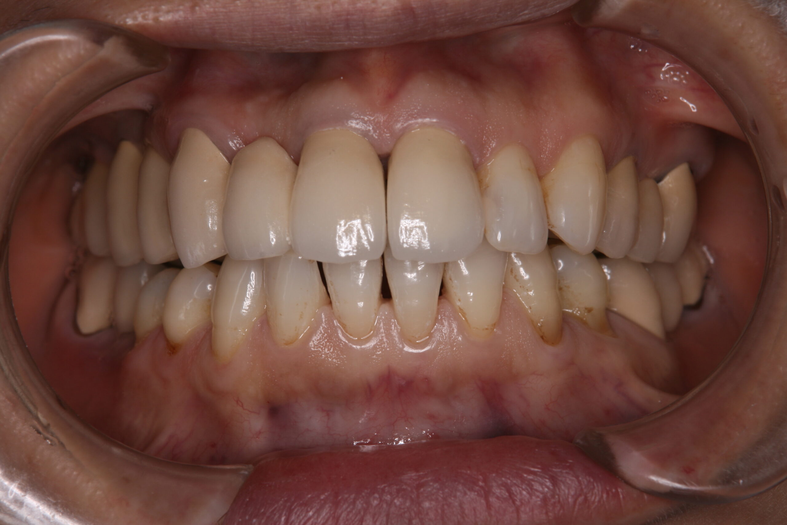
虫歯や外傷などで、歯にかぶせないといけなくなったとき、通常は差し歯にします。
歯と同じに見えるよう、金属の冠の上に白いモノを張り付けますが、その材質により保険適応と適応外(自費治療)に分かれます。
よく行われるのが硬質レジン前装冠(保険適応)と陶材焼付鋳造冠(適応外)です。しかしどちらにしても金属を使うため、
歯に当たった光は完全に反射され、歯の内部を透過することができません。そのため内部で光の乱反射や散乱が起こらず、
白くは見えるものの透明感がなく不自然で、歯茎も暗くなってしまいます。特に、強い光の下での写真撮影時には目立ってしまいます。

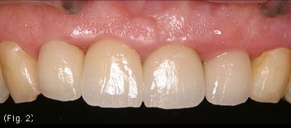
自然かつ美しい歯に仕上げることが可能な、“非金属”の素材と技術が開発されています。
下の模式図は、差し歯の素材を金属と非金属にした場合の光の透過の違いを表しています。かぶせ物を非金属(オールセラミックス)にするだけではなく土台(コア)を非金属(ファイバーグラス)にすることでより自然感のある歯にすることができます。 ファイバーグラスは、光を透過させ、また光を積極的に歯根方向に導きます。 その結果、歯茎を内側から明るくし、自然で健康的な歯茎に見せることができるのです。
また、歯だけではなく歯茎との調和も口元が美しく見える大切なポイントです。歯の形態と歯並びの黄金比を考慮することで、ますます審美歯科治療の成功率と完成度が向上します。
このように、歯の表面だけではなく、内面や歯茎の色と形態を含めた、包括的な審美歯科治療が可能となってきています。



歯が白ければ美しいという審美治療は既に過去のものになっています。歯は周囲組織、つまり歯茎やリップとのバランスがあり美しいと表現されます。
下の症例のように、かぶせものが白いということだけでは決して審美的とはいえません。歯茎との正しいバランスが達成され、
初めて美しいと感じることが出来ます。そのバランスは、一般的なバランスのほかに顔や笑い方などとのバランスもあります。
いうなれば、静的な表現だけではなく、動的な表現も考慮し歯と歯茎を整えてこそ真の審美歯科と言えます。

ホワイトニングは歯に薬液を作用させ、歯そのものの色調を明るくする方法です。
ホワイトニングには歯科医院で実施するオフィスホワイトニングと、歯科医院で作ったトレーを用いて自宅で実施するホームホワイトニングがあります。当院ではどちらも行っております。
| 特徴 | メリット | デメリット |
|---|---|---|
| オフィスホワイトニング (歯の表面から白くする) |
|
|
| ホームホワイトニング (ゆっくり浸透して歯の内側から白くする) |
|
|