矯正治療後の横顔の変化
歯並びは歯だけではなく、顔つきにも影響します。











矯正治療が終了し、キレイな歯並びになるには、ある程度期間がかかります。その間、どのように口の中が変化していくのか、気になる方も多いと思います。
下の動画は、徐々に歯並びが治っていく様子をまとめたものです。矯正での変化をご覧下さい。
歯並びのタイプ別に治療例を紹介しています。
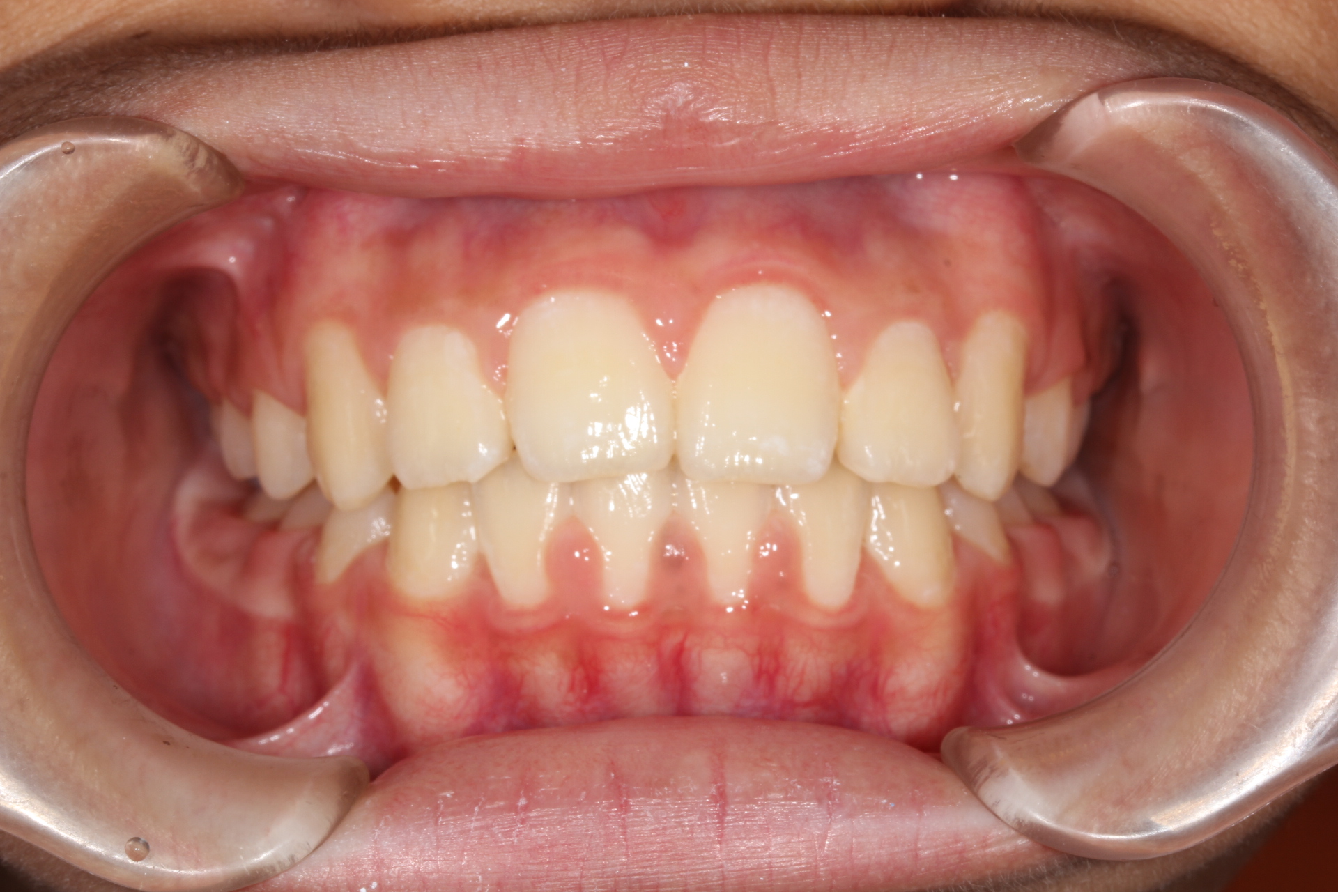
歯がガタガタしている

上の歯が出ている

下顎が出ている

歯の間に隙間がある

顎が左右にずれている

上と下が噛まない

生まれつき歯が少ない

歯が埋まっている

矯正専門医・丸山先生の予約は、大変混んでおります。必ず電話(03-3222-4618)で予約をお取りください。
矯正についての相談を行います。おおよその治療方法、治療期間、費用などの説明をします。
治療を行う上で必要な資料(顔と口の写真・歯の模型・頭や顎のX線)を取ります。
精密検査で取った資料を基に、詳しい治療の方法や期間の説明を行います。この説明を聞いてから、矯正治療を始めるかどうか決めてください。
小児の場合は1~3ヶ月に1度、
大人の場合は3~4週間に1度の矯正装置の調節を行います。
治療期間は人によって異なります。
歯並びがキレイになった段階で、矯正装置を外します。
キレイな歯並びを維持するために、歯を安定させる装置を入れます。
キレイな歯並びが安定したら、治療は終了です。
インビザライン・システムとは、インビザライン・アライナーという矯正用のマウスピースをつけることにより歯を動かす方法です。インビザライン・アライナーは透明なので目立ちにくく、通常の矯正装置よりも異物感が少ないので、比較的に快適な歯列矯正が可能です。また、取り外し可能のため食生活や、歯磨き・フロスにも影響がなく歯と歯周組織をこれまで通り健康に保つことができます。

3,850 円
(相談料を含む)
44,000 円
(治療に必要な全ての検査料を含む)
大人:880,000~1,100,000 円
小児:412,500~880,000 円
(歯の数によって異なります)
5,100 円
(治療開始後、調整毎に必要です)
抜歯や、虫歯の治療などの、一般歯科治療は別料金となります。
(虫歯の治療等は保険が適応します)
歯並びは歯だけではなく、顔つきにも影響します。












