番町オフィス
BANCHO OFFICE
03-5212-4618 03-5212-4618
市ヶ谷オフィス
ICHIGAYA OFFICE
03-3222-4618 03-3222-4618
Page Banner

歯周治療症例8

ここでは矯正治療を行った症例について紹介しています。
歯列矯正/インビザライン 歯周病治療/予防歯科
術式:歯周外科(エムドゲイン)+全顎歯列矯正

歯周治療症例8

症例情報

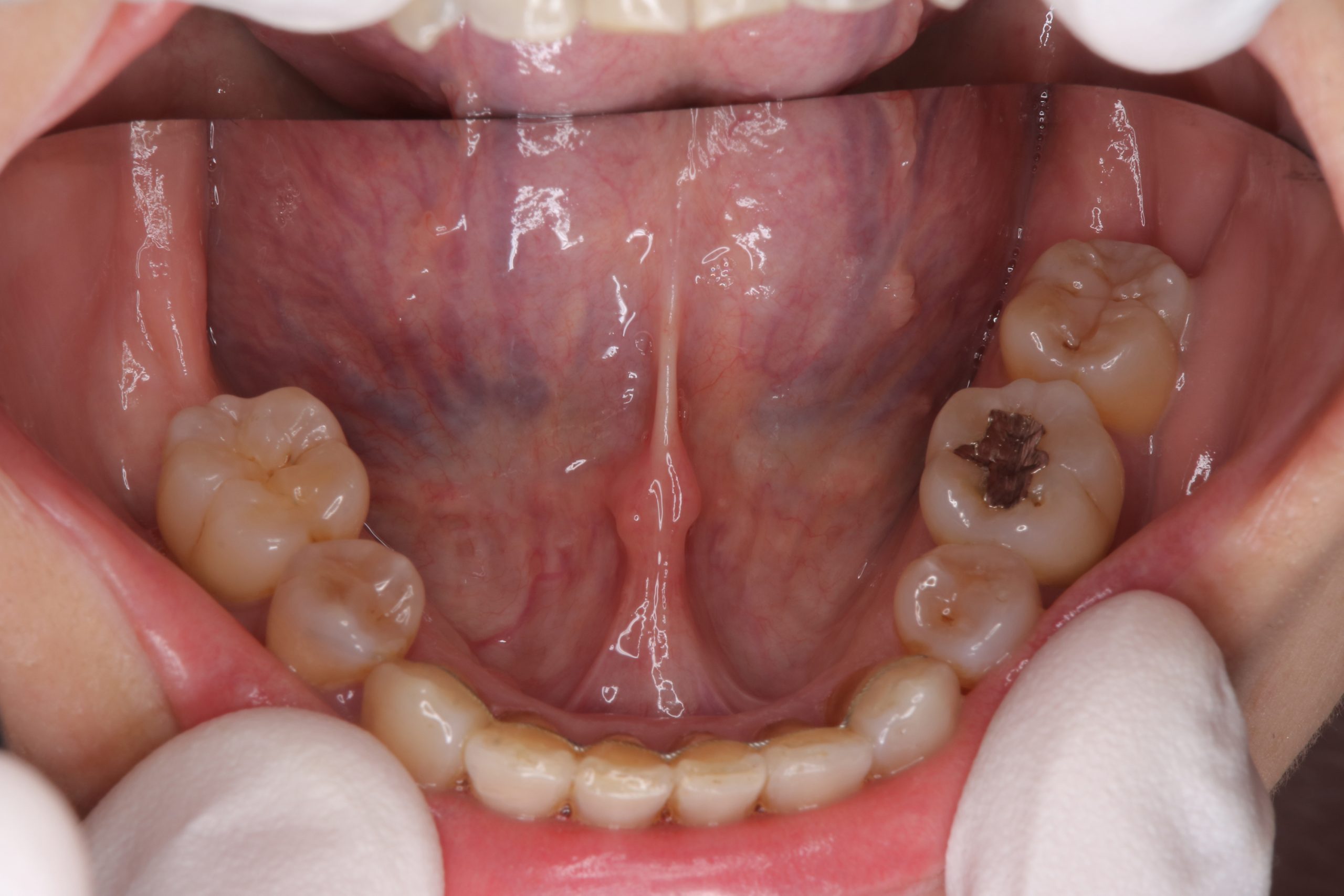
本症例は40代前半の女性で、全顎的な歯周治療を希望され他院より紹介にて来院。

治療期間

歯周治療18か月、歯列矯正24か月

治療内容

フルマウスエックス線写真(14枚法)と歯周組織精密検査の結果、全顎的に中等度から重度の歯周炎が認められ、左上第二大臼歯(27)は保存不可能(抜歯)であった。また、右上臼歯部(17-14)および右下臼歯部(46-44)にはエムドゲインを応用した再生療法を行い、その他についても全顎的歯周外科手術を行った。

また、著しい歯列不正が口腔清掃状況に悪影響を及ぼしているため、全顎的な歯列矯正を行った。

術後写真は、術後3年の状態であるが歯周組織の状態は安定している。

治療費
歯周病治療は保険(エムドゲインは約30万円)。歯列矯正は約100万円、月ごとの調節料金5500円。
副作用
(リスク)

歯周病の治療は進行を止める治療であり、完全に元の状態に戻す治療ではありません。歯周病治療の成功させるには患者自身の口腔衛生管理は非常に重要です。また生活習慣の改善が必要となる場合があります。歯周病の原因は除去できないため、再発のリスクが常にあります。矯正治療は歯の移動に伴う歯根吸収および歯肉退縮の可能性があります。クライアントの協力性によって治療期間や治療結果に影響が出ます。

前の症例 一覧へ戻る 次の症例