番町オフィス
BANCHO OFFICE
03-5212-4618 03-5212-4618
市ヶ谷オフィス
ICHIGAYA OFFICE
03-3222-4618 03-3222-4618
Page Banner

特殊義歯症例1

ここでは訪問診療や特殊義歯などの症例について紹介しています。
訪問診療/その他
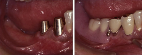
術式:コーヌス義歯

特殊義歯症例1

症例情報

本症例は40才代前半の男性。全顎的な歯周治療を希望して来院。

治療期間

約2か月

治療内容

下顎右側の遊離端欠損部補綴を局部床義歯による治療で提案したところ、舌側にバーが通ることと鉤(入れ歯をとめる金具)が見えることを極力避けたいと希望。現在であればインプラント治療を第一選択と考えるが、当時(90年代前半)はインプラント治療はルーティン化しておらず、コーヌスデンチャーを選択。コーヌスデンチャーは支台となる歯に内冠を被せ(写真左)、外冠を前装してデンチャーの鉤とする(写真右)ものである。丁度、茶筒のような形になり、内冠と外冠の摩擦効果により義歯の脱離を防ぐ。通常の鉤と違い、内冠の角度(コーヌス角と呼ばれる一定の角度)や支台の方向を一定にしなくてはならず、また、着脱力(維持力)の調整に特殊な方法が必要となるため、テクニックセンスティブな義歯である。

治療費
約45万円(施術時) *治療期間・治療費は自費診療部分のみの算出です。 *治療費は施術時の金額であり、時期や手法により異なる場合があります。
副作用
(リスク)

支台歯への負担が大きく、歯の破折が起きる可能性があります。

前の症例 一覧へ戻る 次の症例