番町オフィス
BANCHO OFFICE
03-5212-4618 03-5212-4618
市ヶ谷オフィス
ICHIGAYA OFFICE
03-3222-4618 03-3222-4618
Page Banner

歯冠修復(審美歯科)症例24

ここでは審美的治療を行った症例について紹介しています。
審美治療/ホワイトニング
術式:陶材冠+ラミネート

歯冠修復(審美歯科)症例24

症例情報

20才代の女性で、職業は雑誌のモデルである。

治療期間

約2か月

治療内容

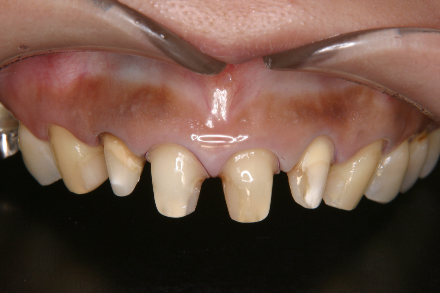
上顎前歯部の審美障害を主訴に来院。4前歯は失活しており、右側切歯は唇側に傾斜していた(Before)。クライアントは形態的のみならず、色調の改善も含めて前歯部の審美回復を希望しており、両犬歯はラミネートベニア、4前歯はオールセラミックスクラウンによる修復を行うこととした(After)。
オールセラミックスクラウンの施術に先立ち、4前歯はファイバーポストを植立し、オールセラミックスの特徴を最大限に生かすように配慮した。両犬歯は側方ガイドを変えないためにも舌面形態に変更を与えることのない、ラミネートベニアにて審美回復を行った。

治療費
約60万円(施術時)
副作用
(リスク)

オールセラミックスクラウンはメタルクラウンと比較して、材料の厚みを確保するために歯を削る量が増えます。

前の症例 一覧へ戻る 次の症例