番町オフィス
BANCHO OFFICE
03-5212-4618 03-5212-4618
市ヶ谷オフィス
ICHIGAYA OFFICE
03-3222-4618 03-3222-4618
Page Banner

歯冠修復(審美歯科)症例27

ここでは審美的治療を行った症例について紹介しています。
審美治療/ホワイトニング
術式:オールセラミックスクラウン+メラニン除去

歯冠修復(審美歯科)症例27

症例情報

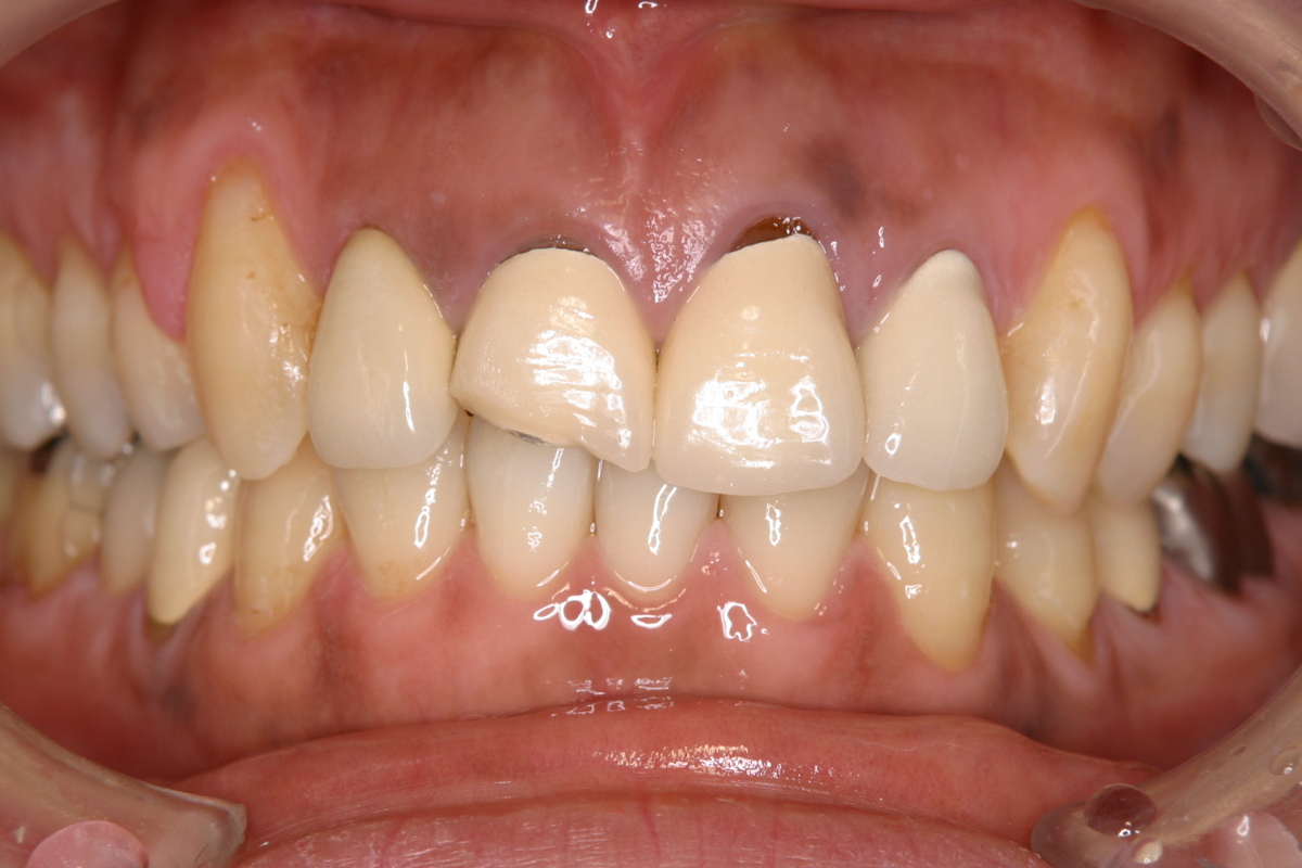
本症例は40才代の女性で、上顎前歯部の審美障害を訴え来院。

治療期間

約12か月

治療内容

上顎右側中切歯(11)の陶材焼付鋳造冠の切端部が欠けたために来院。4前歯(12 11 21 22)の再治療と歯肉のメラニン色素の着色除去を希望。エックス線検査の結果、根管充填の不備も認められたため、再根管治療を行った後にファイバーポストを装着し、セラミックスクラウンを装着。後に、メラニン色素を電気メスで除去した。術後の写真は、メラニン色素除去後10ヶ月であるが、後戻り傾向は見られず、良好な経過をたどっている。

治療費
自費診療/約70万円(施術時) *治療期間・治療費は自費診療部分のみの算出です。 *治療費は施術時の金額であり、時期や手法により異なる場合があります。
副作用
(リスク)

オールセラミックスクラウンはメタルクラウンと比較して、材料の厚みを確保するために歯を削る量が増えます。
メラニン色素の除去は歯肉の痛み・出血が起こります。ダウンタイムは1-2日程度です。

前の症例 一覧へ戻る 次の症例