ここでは審美的治療を行った症例について紹介しています。
上顎4前歯の審美障害を訴え来院。患歯は某歯科医院にて度重なるコンポジットレジン充填により審美傷害を呈しており、また、歯冠部の破折もあった(ビフォアー写真の両側切歯は既に暫間被覆冠が作製されている)。オールセラミックスクラウンによる審美修復を行うこととし、通法に従い支台歯形成を行い(Figs.1-2)、即時に暫間被覆冠(TeC)を作製した(Fig.3).オールセラミックスクラウンによる審美修復は極めて自然感のある歯冠修復を可能にするが、支台歯形成やセメント合着に特別な配慮を必要とするため、施術が難しい。支台歯形成に配慮する点は、応力集中の回避、歯質削除量の均一化、スムースな切削面などをあげることができる(Figs.1-2)。今回は、右上側切歯にファイバーグラスコア(ファイバーグラスでできた土台)を用いることにより、隣在する天然歯と同じ様な光の透過性が得られるように配慮した。結果、歯冠齢の透明感もさることながら、歯頸部や歯肉の自然感も表現されており、明るく透明感のある処置とすることができた(アフター写真)。
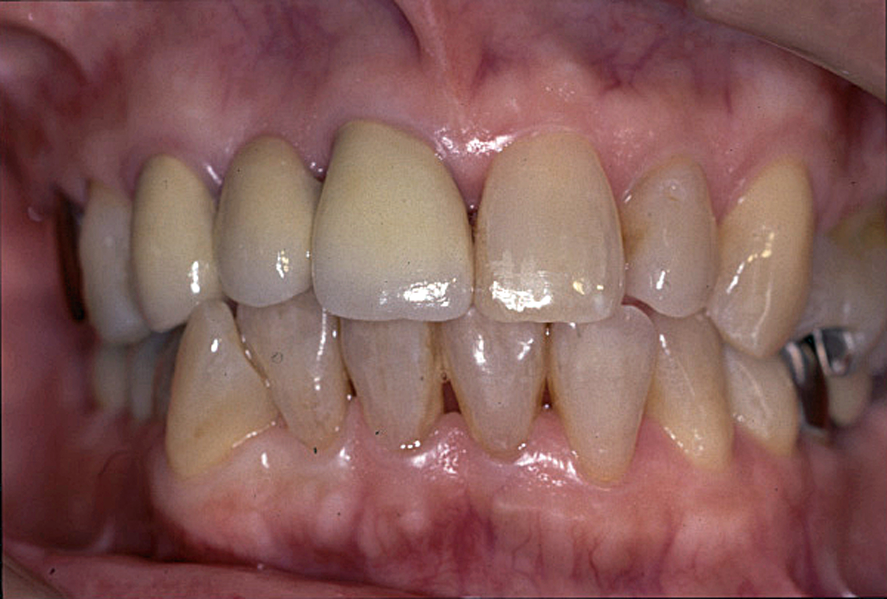
数年前、左上切歯には某歯科医院にて施術された陶材焼付鋳造冠が設置されており、また、右上切歯と左右側切歯は度重なるコンポジットレジン充填により審美傷害を呈している(Fig.1-2)。クライアントは切歯部の翼状捻転も気になっていた(Fig.3)。数年前に左上切歯に陶材焼付鋳造冠を施術された際に、右の翼状捻転に合わせて、左の陶材焼付鋳造冠も捻転して作製されたことも不満で、今回はすべて改善したいと希望。そこで、左上切歯の陶材焼付鋳造冠とメタルコアを除去後、ファイバーグラスコアをセット。左右中切歯は冠タイプのオールセラミックス(エンプレス)修復とし、左右側切歯にはラミネートベニアとした。オールセラミックス修復は極めて自然感のある仕上がりになるのが特徴であるが、今回は、左上切歯部にファイバーグラスコアを用いたため、失活歯(神経のない歯)でありながら、隣在歯の生活歯との調和がとれた仕上がりになっている(Fig.4)。また、補綴的に翼状捻転も修正され、満足のいく処置ができた(Fig.5)。 通常、失活歯にはコアを入れるが、その素材は金属となるのが通常である。天然歯(処置をしてない歯)は光を通す。光は歯を透過しながら、乱反射と散乱をして、歯としての色を出してくるが、金属のコアを入れられた歯はその現象が乏しく、結果、不自然な色調になりがちである。特に、歯冠から入った光が歯根方向へ抜けて行かなくなるため、歯肉の色が暗くなり、歯肉は健康であるのに、健康な歯肉に見えなくなる審美障害が発生する。本症例においては、左上切歯の歯肉辺縁部ではマージン不適があったため歯肉の炎症が見られたが、付着歯肉からMGJにかけての歯肉も、紫色を呈し、審美的にも良好とは言えなかった。
下顎咬合面に処置されているメタルインレーをセラミックスインレーに処置しなおしたいと希望。クライアントの下顎両大臼歯部には、合計4つのメタルインレーが施されていた(Fig.1では既に右側大臼歯部のメタルインレーはセラミックスインレーに処置済み)。メタルインレーを除去後、通法に従いプレパレーションを行う。セラミックス修復におけるプレパレーションの注意点は、応力集中を避け、フィニッシングラインはバットジョイントになるように配慮する。その他、前歯部であれば、アンテリアガイダンスのチェックも必要不可欠である。セラミックス修復で最も懸念される術後のトラブルは、セラミックスの破折であるが、入念な咬合診査、的確なプレパレーション、術後の精密な咬合調整などが行われていれば、ほとんどのケースで破折を未然に防ぐことができる。 また、セラミックス修復における審美的な成功の是非は、技工士のクオリティによるところが大きいことも忘れてはならない重要な要素である。
顎関節の不調を訴え来院。咬合診査と口腔内診査の結果、歯ぎしりによる犬歯の摩耗による咬合バランスの不良と診断。本人には歯ぎしりの自覚はなかったが、親族に確認してもらったところ、時々歯ぎしりをしていることが判明。 そこでスプリント療法と並行して、犬歯のビルトアップを行った。この方法は、軽度の歯ぎしりを防止する方法として有効で、歯根膜の生理学的理論に基づく。模型を咬合器にトランスファーした後、クラウンフォーマーを作製し、CRにて犬歯のビルトアップを行った。それにより、右写真群のように、側方運動時における咬合様式が、グループファンクションから犬歯誘導に変更されているのが確認できる。 この施術により、歯ぎしりが防止され、顎関節の不調が消失した。
左上中切歯と側切歯(術前写真内↑)は失活歯で変色をしていたため硬質レジン前装冠にて修復。術直後の写真は、装着後間もないため色形態ともに調和しているが、術後5年の写真において、硬質レジン前装冠に色調の変化を認める。歯根露出部位は非吸収性の遮断膜(ゴアテックスTRメンブレン)を設置して、根面被覆を行った。
精査の結果、上顎両側切歯は保存不可能なため抜歯し、全顎的な歯周治療の一環として上顎前歯部には陶材焼付鋳造冠ブリッジを装着した。アフターの写真は、術後半年の状態である。歯肉の状態は現状で安定しており良好と思われる。術前の歯面には着色物が多く認められたが、クライアントは歯周治療を機に禁煙をしており、現在、歯面の着色は軽微である。
歯周病治療は、通常のスケーリングと部分的な外科手術により改善された。歯周治療の一環として、審美障害を伴う右上前歯部の接着性ブリッジを除去。その後、通常のブリッジタイプの補綴物を作製。本症例は陶材焼付鋳造冠ブリッジにしたが、現在であれば、ブリッジにも適応可能なオールセラミックス(ジルコニア)による修復を考えるべきであろう。 陶材冠と陶材焼付鋳造冠では、強い光が当たった時の自然感に違いが出やすい。通常、歯は光を通す。その際に光は透過と散乱を起こすが、陶材焼付鋳造冠の場合は、内部の金属冠が光を遮断してしまうため天然歯のような光の透過と散乱が起きない。一方陶材冠は、金属の裏打ちがないため、自然な光の透過と散乱が起き、より自然な色調を再現できる。また、歯頸部のメタルカラーがない陶材冠は経時的に歯肉辺縁の退縮が起きても、審美障害は軽微であるという利点もある。
施術から20年経過するが、右上犬歯部の歯肉退縮による歯根と歯頚部のメタルカラーの露出以外に異常は認められない。
第一小臼歯は歯内処置が不十分だったため再根管治療の後、築造。第二大臼歯は変色してしまった前装冠を除去の後プレパレーションをし直した。 本症例では、歯ぎしりの考慮から、陶材焼付鋳造冠を選択した(施術当時)。
全顎的に軽度の歯周炎にも罹患していたため、全顎的なエックス線診査もあわせて行ったところ、右上中切歯ならびに犬歯の根尖部に根尖病巣を認めた。通法に従い、歯内処置の後、築造。セラミック冠(エンプレス)にて歯冠修復を行った。 陶材冠のプレパレーションには応力が集中しづらいような形態を付与するよう細心の注意を払う。また、フィニッシングラインより最低0.5mm根尖側まで印象採得が行われる事が望ましい。0.5mmの印象採得面が、適切なエマージェンスプロファイル(歯肉からの立ち上がり)を再現する際、ラボサイドの重要な指標となる。最終補綴物は歯肉からの立ち上がりに自然感があり色、形態ともに隣在歯にマッチングしている。
患歯は失活歯で変色しており、再根管治療の後、全部被覆冠タイプの歯冠修復を提案。ブリーチング(漂白)も提案したが、術後、歯質の脆弱化や破折の危険性を示唆したところ、帯環タイプの歯冠修復を希望。また、職業上、強い光を当てての撮影の機会が多いため、審美的に有利なオールセラミックスの歯冠修復を提案。オールセラミックスは通常の陶材焼付鋳造冠と異なり、歯頸部付近の歯肉の色調に自然感があり、強い光(カメラのフラッシュなど)による不自然な色調を少なくすることができる。理想的には両中切歯の歯頸線をそろえるべきであるが、外科的な施術までは希望せず。下顎前歯部の歯肉炎はスケーリングとブラッシング指導により改善している。
矯正治療に際し、矯正期間の短縮を図るためにコルチコトミーを依頼され施術。上顎6前歯の歯槽骨を切除。その後、左上の中切歯だけが移動せず、骨性癒着をしていることが判明し、左上中切歯を除く歯の移動が完了したのちに、2回目のコルチコトミーを行い、左上中切歯は外科的に移動させた。矯正治療の保定と左上中切歯の固定ののちに、前歯部の修復治療を行った。術後3年の経過ではあるが、矯正後の後戻りもなく、また、修復治療部分も安定している。
矯正治療後の歯根露出により矯正専門医より紹介。患歯は著しい歯根露出を呈しており、また、歯頸ラインの不一致からブラッシング不良による歯肉炎もみられた。ブラッシング指導により患歯のプラークコントロールが徹底され炎症が除去されたのちに施術された。根面被覆の方法は様々だが、審美的な配慮から結合組織移植(Fig.2)を、また、より理想的な両生を期待しエムドゲイン(Fig.1)を用いた。術後確実な術野の縫合を行う(Fig.3)ことがより良い治癒を得るポイントでもある。 結果、ほぼ100%の根面被覆を得ることができ、また、歯間乳頭ラインも下がることはなかった。