ここでは、実際に行われた症例をご紹介しています。詳細をご覧になる方は各症例をクリックして下さい。
本症例は50代の男性で、左上インプラント治療を希望し紹介を受けた。全顎的に臼歯部の咬合が崩壊しており(術前)、臼歯部すべてインプラントならびに陶材焼付鋳造冠にて修復を行った(術後)。
本症例は40代の女性で、左上インプラント治療を希望し紹介を受けた。抜歯後の顎堤の吸収が大きく、また上顎洞との距離が近接していたため(Figs.1,3)、インプラント埋入時にオステオトーム法によるソケットリフトを行った(Fig.2)。ソケットリフトはインプラントを埋入する際に必要最低限の骨量を増やす結果、必要最低限の体への負担を達成することが出来る。従来ではインプラント治療を行うには難しかった症例であったが、ソケットリフトを併用することで比較的簡単にインプラント治療ができるようになった(Figs. 4,5)。
抜歯後の顎堤の吸収が大きく(Fig. 1)、インプラント埋入後約5mmの露出を認める(Fig. 2)。ドリリング時に採取される自家骨をインプラント露出部に移植しゴアテックス膜をかけGBRを行う(Fig. 3)。約6ヵ月の待機期間を経て2次手術と膜除去手術を行ったところ、十分な骨増生を認めた(Fig. 4)。十分な骨幅が確認でき(Fig. 5)、機能的かつ審美的な上部構造体を装着することが出来た(Fig. 6)。
術後7年においても、同様の状態が維持されているのがわかる。
本症例は50代の女性で、全顎的補綴治療を希望し紹介を受けた。抜歯後の顎堤の吸収が大きく(Fig. 1)、インプラント埋入後約6mmの露出が認められる(Fig. 2)。ドリリング時に採取される自家骨をインプラント露出部に移植しゴアテックス膜をかけGBRを行う(Fig. 3)。約9ヵ月の待機期間を経て2次手術と膜除去手術を行ったところ、十分な骨増生を認めた(Fig. 4)。十分な骨幅が確認でき(Fig. 5)、機能的かつ審美的な上部構造体を装着することが出来た(Fig. 6)。
本症例は60代の男性で、全顎的インプラント治療を希望し紹介を受けた。左右臼歯部共に咬合崩壊を起こし、臼歯部でのバーティカルストップはかろうじて保たれている( Fig. 1)が、咬合高径は低く、前歯部のフレアーアウトを引き起こしている。左下第一小臼歯は残根状態であり、保存不可能と判断し抜歯を行い治癒を待った(Fig. 2)。抜歯後3ヵ月で一次手術を行うと、重度の顎堤吸収が起こっており(Fig. 3)、リッジエキスパンジョンにより歯槽骨の拡大を行った(Fig. 4)。一次手術の後、適切な顎堤の増大が図られているのが分かる(Fig. 5) 。臼歯部の咬合高径が低くなっていたために、前歯部での著しい咬耗を認めたため、コンポジットレジンによりビルトアップを行い、側方運動時のガイドを付与(Fig. 6 赤矢印)。審美的にも機能的にも理想的な上部構造体が装着されている(Fig. 6)。
本症例は50代の女性で、全顎的歯周病の治療を希望して来院。診査の結果、右上大臼歯部は保存不可能のため抜去。右上第一小臼歯は再生療法(エムドゲイン)を併用し保存することとした。右上大臼歯部の補綴を相談したところ、上顎の義歯はどうしても避けたいという強い希望があったため、インプラント治療を計画しCT検査を行った。通常、インプラントを埋入するには最低10mm程度の骨を必要とするが、埋入予定部の骨は7.5㎜程度と少なく、骨増生を必要とした。上顎臼歯部のインプラント治療で骨が十分にあるケースは少ない。その骨を増生させるため、オステオトームによるソケットリフトを併用しインプラントを埋入することとした。 ソケットリフトによる上顎洞挙上術は、生体に対する侵襲が少なく、安全で成功率が高い方法として、1990年半ばにDr.Summersにより紹介された方法である。インプラント埋入窩から、骨移植材を填入し、上顎洞粘膜と骨膜をドーム状に盛り上げ、インプラントを埋入する方法である。この方法を用いると、インプラントが適応できなかった症例にもインプラント治療が可能となる。本症例も、この方法を用いてインプラント治療を行った。
本症例は40代の男性で、上顎前歯部歯肉の腫脹を訴え某歯科医院へ来院。診査の結果、歯根部の破折が疑られ、紹介を受けた。精査の結果、唇側歯根中央部付近で破折しており、保存不可能と判断。両隣在歯を削るブリッジとインプラント治療を提案したところ、クライアントはインプラント治療を選択した。左側中切歯はう蝕および切端の咬耗がみられたためコンポジットレジンにて修復する必要があったが、右側側切歯は処置をする必要がなかった。よって、本症例においてもインプラント治療が第1選択として考えられ、インプラント治療の有益性を生かせる症例でもある。術式は、時間的な節約と歯間乳頭部の温存を考慮し抜歯即時埋入とした。抜歯後、欠損部の治癒を待ってからインプラントを埋入する方法が一般的だが、抜歯とともに周辺骨の吸収が開始するため、早期にインブラントを埋入し周辺骨の吸収を極力抑えることが術後の審美性に有利とされる。術式は煩雑で、術中の切開や縫合に配慮を必要とするが、条件がそろえば、抜歯即時埋入の効果は大きい。本症例においても、術後の状態は審美的な仕上がりになっている。
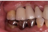
本症例は50代の女性で、下顎臼歯部のブリッジの不調を訴え来院。精査の結果、両側臼歯部ブリッジの支台歯は破折しており保存不可能と判断。特に右最後臼歯の破折による骨欠損は大きく、病巣は下顎管まで達していた。病巣と下顎管を分離する作業に1時間近くかかり、術後の麻痺も懸念された。当初、右下臼歯部3本分のインプラント埋入を予定していたが、欠損部の骨幅は狭くGBRも予定されていたため、最後臼歯部への1本は省略し2本の埋入のみとした。幸い術後の麻痺は起こらず、GBRの際に用いたゴアテックス膜も露出しなかった。 全顎的な治療を計画しているが、上顎と下顎前歯部は現在、着手していない。インプラント治療に付随して、下顎右側第二小臼歯(白矢印)の再治療も行った。根管治療の結果、根尖の不透過像も消失(赤矢印)しており、右側臼歯部での咀嚼機能はほぼ回復した。現在、左側臼歯部のインプラント治療を含めた、咬合機能の改善に着手しており、終わり次第、下顎前歯部の治療を行う予定でいる。
本症例は20代の女性で、上顎前歯部のインプラント治療を某歯科医師より依頼を受け施術。欠損補綴を検討するも、クライアントの強い希望によリインプラント治療を行うこととした。欠損部は一見すると十分な骨量を有するように見えるが、写真(術中―咬合面観)のごとく、インプラント治療を行うには十分な骨量はない。そこで、人工骨(β-TCP)と自家骨による骨増生を行うこととしたが、自家骨の採取は微量と考えられたため、PRP(多血小板血漿)を併用した。結果、十分な骨量を確保することができ、インプラント治療が可能となった。
本症例は10代後半の女性で、犬歯相当部の欠損補綴を某歯科医師より依頼を受け施術。 犬歯が異所萌出してしまったため犬歯相当部が欠損しており、隣在歯は未処置歯なためインプラント治療を行うこととした。クライアントは10代後半の女性ということで、特に審美的な配慮が必要となった症例であった。最終補綴物の色調や形態もさることながら、周囲組織の形態にも配慮した結果、歯冠部と周囲組織の調和のとれた結果となった。 慎重を要した点は、フィクスチャーの埋入深度や頬舌的な位置で周囲軟組織の形態は容易に変わってしまうため、熟慮が必要であった点である。
本症例は50才代前半の男性で、全顎的歯周治療を希望して来院。歯周治療の後、最終補綴処置が1996年に終了した(Fig.1-2)が、患歯(右上臼歯部:第2小臼歯と第1大臼歯)か予後不良のため2001年に抜去となった。ブリッジによる歯冠補綴も考えられたが、その前方部は7歯からなるメタルボンドブリッジになっているため、欠損部はインプラントによる補綴とした。二次手術の際には審美性を考慮して、ワイドタイプのヒーリンクアバットメントを用い(Fig.3)、上部構造物がより自然な形態になるように配慮した。上部構造物は、舌側からのロッキングスクリューによる装着ができるように配慮されている(Fig.4-6)。
本症例は50代前半の女性で、左上犬歯部の着色が気になり来院。検査した結果、側切歯が先天欠如のため、犬歯が側切歯相当部に萌出し乳歯(C)が晩期残存していたことが判明。着色している歯は乳歯である(Fig.1)。乳歯の歯根は著しく吸収しており、保存不可能なため、欠損補綴を検討したところ、両隣在歯を切削しなくても済む、インプラント治療を選択した。写真(Fig.2)はインプラント埋入後の抜糸時の写真で、写真(Fig.3)は糸(ゴアテックス縫合糸)と暫間補綴物を除去した状態である。最終補綴物は、陶材焼付鋳造冠を選択しているが、隣在歯と色調も合い同化している。