番町オフィス
BANCHO OFFICE
03-5212-4618 03-5212-4618
市ヶ谷オフィス
ICHIGAYA OFFICE
03-3222-4618 03-3222-4618
Page Banner

インプラント症例42

ここではインプラント治療を行った症例について紹介しています。
インプラント/骨増生
術式:抜歯即時埋入

インプラント症例42

症例情報

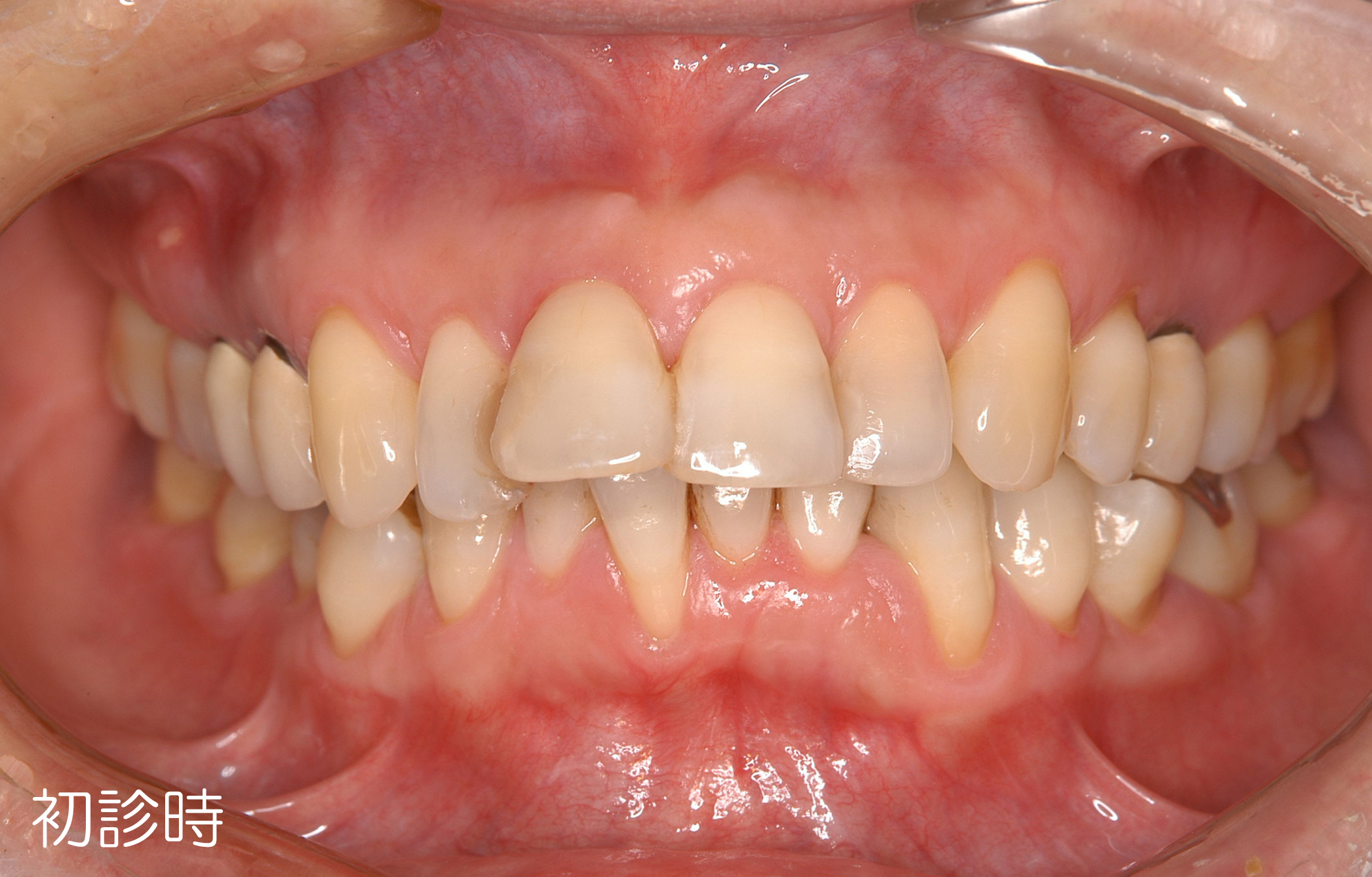
本症例は40歳代の女性で、全顎的歯周病治療と欠損補綴を依頼され紹介を受けた(初診時)(Figs.1a-c)。

治療期間

約12カ月

治療内容

上顎前歯部は、幼少のころに打撲の経験があり、その影響のためか歯根形態が著しく短い(Figs.3a,c)。下顎前歯部には歯列不正(叢生)を認め、その結果、上顎前歯の歯列不正を引き起こしている。下顎前歯部歯列不正は矯正専門医により、スリーインサイザル(4前歯→3前歯)にて改善(Figs.2a-c)、上顎前歯部は、両中切歯を保存不可能と判断し抜歯とし、審美性ならびに負担軽減の観点から、「フラップレスによる抜歯即時インプラント埋入術」を行った(Fig3b)。フラップレスは歯肉を剥離せずに行う方法であるが、本術式のように抜歯後即時にインプラントを埋入する場合には非常に有効な術式である。歯肉を剥離しないため、骨の状況を正確に把握するためにも、3次元的なX線像のCTは不可欠であるが、通常の埋入と比較して、歯肉のロスを最小限にすることができるため、審美的なメリットは大きい。また、術後の痛みや腫れが極めて少ないため、体への負担も少ない方法である。この方法は、インプラントシステムに依存する方法でもある。通常用いられている、ブローネマルクの外部接合方式(エキスターナル・コネクト)では極めて困難な術式であり、アストラやアンキロースなどの内部接合方式(インターナル・コネクト)で可能となる術式である。また、同じ内部接合方式でも、ノーベルのセレクトやITIなどの接合部分がバットジョイントになるものは、同じく歯肉を噛み込みやすく、不向きといえる。治療の結果、上下顎前歯部の機能性ならびに審美性を改善させることができた(Figs.4a-c)。上顎前歯部のインプラントは15年を経過した状態でも、軟組織と硬組織の変化はほとんど見られない。また、一般的にはインプラントーインプラント間の軟組織はフラットになるが、本症例では歯間乳頭状の軟組織も保存され審美的にも機能的に良好な状態が維持されている。

治療費
歯周病治療は保険。インプラントと下顎の小矯正は自費診療/約80万円+20万円(施術時) *治療費は施術時の金額であり,時期や手法により異なる場合があります。
副作用
(リスク)

通常のインプラント治療と比べ、本術式は歯肉を剥離せずに埋め込みを行うため、隣在歯の損傷や唇側への穿孔などのリスクが高まります。手術後のダウンタイム(痛みや腫脹が起こる期間)は約3-4日です。

前の症例 一覧へ戻る 次の症例