番町オフィス
BANCHO OFFICE
03-5212-4618 03-5212-4618
市ヶ谷オフィス
ICHIGAYA OFFICE
03-3222-4618 03-3222-4618
Page Banner

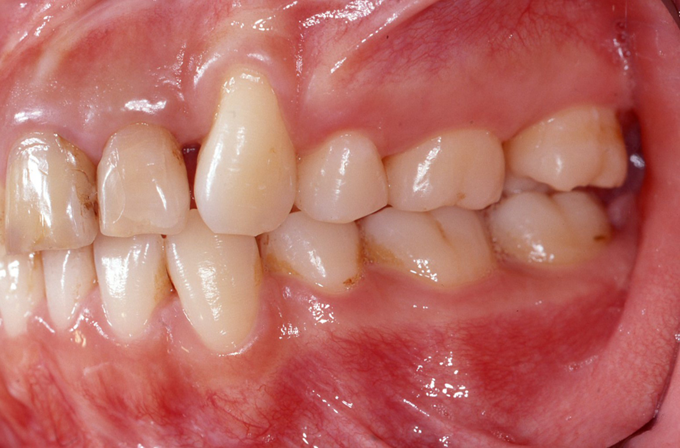
根面被覆症例1

ここでは、歯周治療および予防歯科症例について紹介しています。
歯周病治療/予防歯科
術式:組織再生誘導法(GTR法)

根面被覆症例1

症例情報

20才代 女性

治療期間

約8カ月

治療内容

「左上犬歯の歯根が露出してしまい気になる」とのことで歯科矯正専門医より紹介。犬歯付近の歯根露出は特に若い女性にしばしば認められる審美障害である。女性の犬歯付近の歯肉と歯槽骨は、男性に比べ薄く、また口腔衛生状態を過度に気にしやすく歯根露出は出現しやすい。
根面被覆の方法は様々だが、通常の歯肉移植術では審美的に問題が残ることが多くまた、経時的な後戻りが多いとされるため、本症例では非吸収性の遮断膜(ゴアテックスTRメンブレン)を設置して、より理想的な根面被覆を確立した。術後15年の状態でも、ほぼ100%の根面被覆がされており、歯肉の形態や色も良好で、後戻りの徴候も見られない。

治療費
保険治療
副作用
(リスク)

遮蔽膜(GTR膜)の露出が早期にみられると十分な再生が期待できないことがある。非吸収性の膜は、2次手術で膜の摘出が必要となる。ダウンタイムは術後約1週間である。

前の症例 一覧へ戻る 次の症例