番町オフィス
BANCHO OFFICE
03-5212-4618 03-5212-4618
市ヶ谷オフィス
ICHIGAYA OFFICE
03-3222-4618 03-3222-4618
Page Banner

歯周治療症例4

ここでは、歯周治療および予防歯科症例について紹介しています。
歯周病治療/予防歯科
術式:歯周外科(フラップ手術)

歯周治療症例4

症例情報

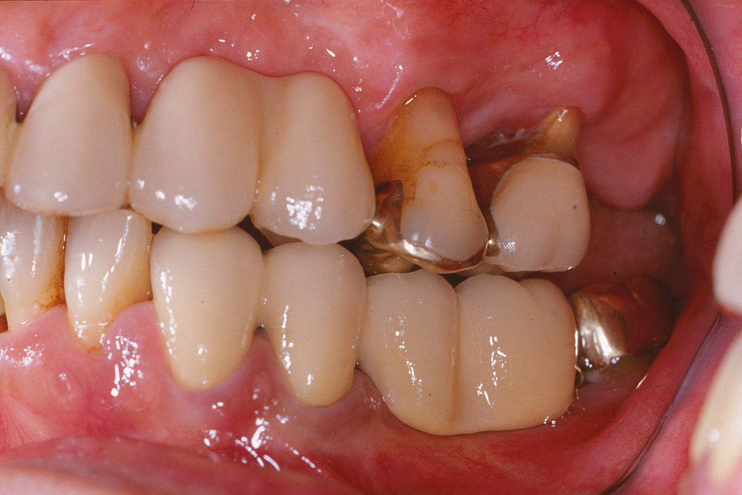
本症例は50才代後半の男性で、全顎的な歯周治療を希望して来院。

治療内容

精査した結果、全顎的に中等度から重度の歯周炎が認められ、特に左上犬歯と第一小臼歯、第2大臼歯は保存不可能であった。また、左上大臼歯も保存には適さないと判断したが、抜去してしまうと義歯の装着を余儀なくされるため、近心頬側根のみ抜去を行った。臼歯部は外科を行っている。術後写真は、術後3年の状態であるが歯周組織の状態は安定している。

治療費
歯周病治療は保険
副作用
(リスク)

歯周病の治療は進行を止める治療であり、完全に元の状態に戻す治療ではありません。歯周病治療の成功させるには患者自身の口腔衛生管理は非常に重要です。また生活習慣の改善が必要となる場合があります。歯周病の原因は除去できないため、再発のリスクが常にあります。

前の症例 一覧へ戻る 次の症例