番町オフィス
BANCHO OFFICE
03-5212-4618 03-5212-4618
市ヶ谷オフィス
ICHIGAYA OFFICE
03-3222-4618 03-3222-4618
Page Banner

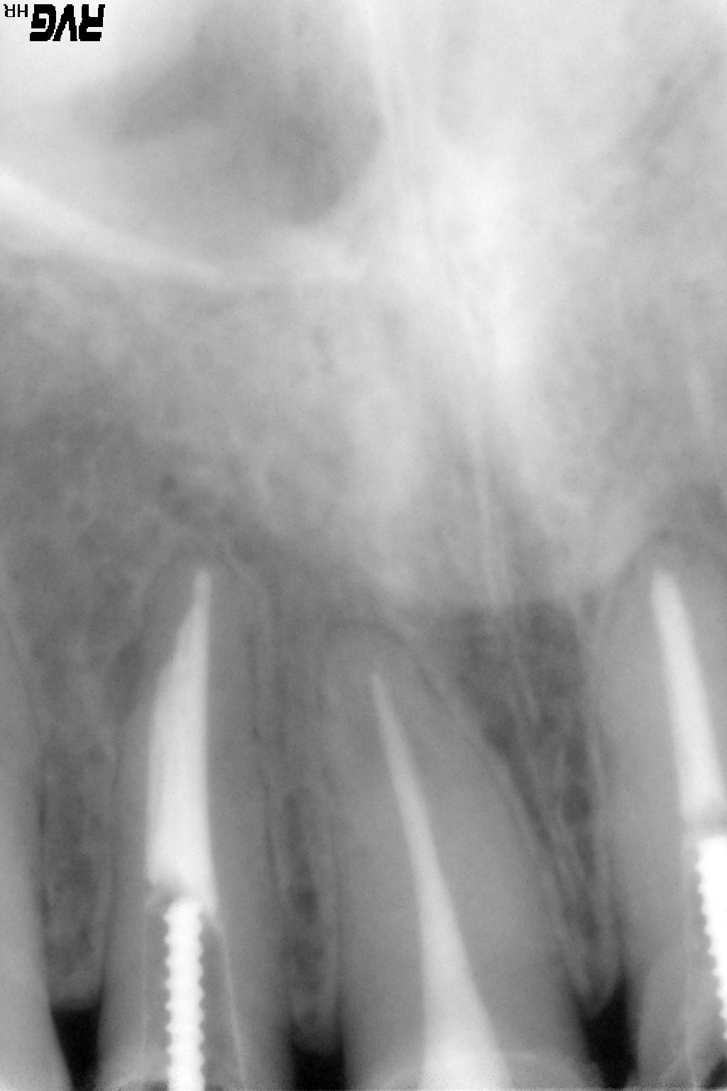
根管治療症例3

ここでは、歯内療法およびマイクロエンド症例について紹介しています。
歯内療法/マイクロエンド
術式:根管治療

根管治療症例3

症例情報

本症例は30代女性、右上前歯に違和感がある。

治療期間

2か月(根管治療回数4回)

治療内容

右上前歯に違和感があるとの主訴で来院。デジタルX線写真撮影により右上2番の根尖部遠心に透過像が認められた。感染根管治療を行い、根充後違和感は消失。術後のレントゲンは7年後に撮影したものであるが、透過像は消失している。

治療費
保険診療
前の症例 一覧へ戻る 次の症例