番町オフィス
BANCHO OFFICE
03-5212-4618 03-5212-4618
市ヶ谷オフィス
ICHIGAYA OFFICE
03-3222-4618 03-3222-4618
Page Banner

インプラント症例31

ここではインプラント治療を行った症例について紹介しています。
インプラント/骨増生
術式:抜歯即時フラップレス+インプラント

インプラント症例31

症例情報

30代男性

治療期間

約10カ月

治療内容

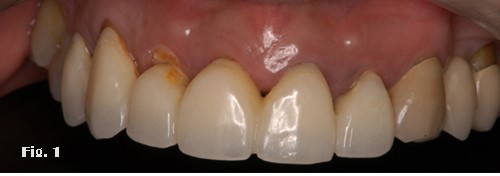
本症例は30歳代の男性で、前歯部の審美改善を希望して来院。前歯部は2年ほど前に米国ボストンで審美歯科治療を受けたと言うが、装着されているクラウンはレジンジャケット冠で、その適合は悪い(Fig.1)。クラウンの内部の処理は更に悪く、二次カリエスのため、右上犬歯と側切歯は抜歯となり、インプラントを埋入。レジンジャケット冠を利用してプロビジョナルを作製した(Fig.2)。支台は全て再製した(Fig.3)。抜歯即時フラップレスにてインプラントを埋入することによりインプラント-インプラント間の歯間乳頭を温存することができる(Figs.5,6)。リップサポートを得るために上部構造体は唇側に突出気味にせざるをえなかったのが、少々残念ではあるが、クライアントは大変満足している(Fig.4)。歯肉のバイオタイプはシン・スキャロップであったが、インプラント周囲に温存された歯間乳頭と辺縁歯肉は安定している。Fig.7 は上部構造体装着時で、Fig.8は1年後の状態であるが、歯肉に変化は認められない。

治療費
約130万円(施術時、インプラント治療部分と周囲の補綴治療の総額) *治療費は施術時の金額であり、時期や手法により異なる場合があります。
副作用
(リスク)

通常のインプラント治療と比べ、本術式は歯肉を剥離せずに埋め込みを行うため、隣在歯の損傷や唇側への穿孔などのリスクが高まります。手術後のダウンタイム(痛みや腫脹が起こる期間)は約3-4日です。

前の症例 一覧へ戻る 次の症例